
Centrum Ortodontyczne OrthoLine Patrycja Downarowicz
Lokalizacja
Ladowanie mapy...
Legnicka 59 C/lok. U10-U11, 54-203 Wrocław, Polska
O firmie
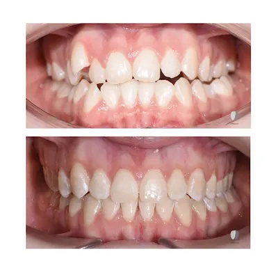
Centrum Ortodontyczne OrthoLine Patrycja Downarowicz, zlokalizowane przy ul. Legnickiej 59 C/lok. U10-U11 we Wrocławiu (54-203), specjalizuje się w leczeniu ortodontycznym. Gabinet cieszy się wysoką oceną 4,8/5 w Google na podstawie 139 opinii, co świadczy o solidnej reputacji wśród pacjentów. Pod kierownictwem dr Patrycji Downarowicz placówka oferuje kompleksową opiekę, w tym aparaty stałe, leczenie wad zgryzu – także tych skomplikowanych – oraz przygotowanie do zabiegów ortognatycznych we współpracy z chirurgami szczękowymi. Pacjenci we Wrocławiu i okolicach, w tym z dalszych miejscowości jak Opole, chwalą dr Downarowicz za profesjonalizm i indywidualne podejście, szczególnie do dzieci. Wielu podkreśla, że specjalistka podejmuje się przypadków odrzucanych przez innych ortodontów, unikając niepotrzebnego wyrywania zębów i osiągając satysfakcjonujące efekty w przewidzianym czasie. Wizyty odbywają się punktualnie, w miłej atmosferze, z dokładnymi wyjaśnieniami planu leczenia i kosztów. Personel recepcji oraz asystenci są opisywani jako pomocni i uśmiechnięci, a gabinet – estetyczny i wygodnie zlokalizowany, z łatwym dojazdem i parkingiem w pobliżu. Mimo pojedynczych głosów krytyki dotyczących empatii czy drobnych niedociągnięć, przewaga pozytywnych recenzji potwierdza, że OrthoLine to sprawdzony wybór dla osób szukających rzetelnej ortodoncji we Wrocławiu. Efekty leczenia, takie jak prosty uśmiech i poprawa zgryzu, często przeroszą oczekiwania pacjentów. (198 słów)
Co mowia klienci
“Opinie są w większości bardzo pozytywne (18 na 20 ocen 5/5), chwalące dr Patrycję Downarowicz za profesjonalizm, skuteczne leczenie skomplikowanych wad zgryzu bez wyrywania zębów oraz miłą atmosferę. Efekty leczenia przerosły oczekiwania wielu pacjentów, w tym dzieci i przypadków wymagających operacji. Pojedyncze negatywne opinie wskazują na brak empatii i problemy z implantami.”
Mocne strony
- Wysoka kompetencja w skomplikowanych przypadkach bez konieczności ekstrakcji zębów
- Przejrzysty plan leczenia z doskonałymi efektami i bez opóźnień
- Miła, empatyczna atmosfera i profesjonalne podejście podczas wizyt
- Szybkie, bezbolesne wizyty oraz miły personel
- Dobra współpraca z chirurgami i nowoczesna lokalizacja gabinetu
Do poprawy
- Pojedyncze zarzuty o brak empatii i uszkodzenie zębów
- Problemy z implantami i wielokrotne poprawki w gabinecie
Idealne dla
Dla pacjentów z trudnymi wadami zgryzu, w tym dzieci, szukających leczenia bez wyrywania zębów i z indywidualnym podejściem.
Kategorie
Podobne firmy w okolicy
Inne firmy w okolicy

NETIM

Podolek Monika Skinderowicz Gabinet podologiczny Wrocław Podolog Pedicure kosmetyczny Pedicure leczniczy

Podolog Anna Serwaczak

Sagiton Software House Wrocław Poland - Digital Automation Agency

AleMat.pl - Korepetycje z Matematyki - Wrocław

Adore Nail Studio
Republika Wnętrz - Deweloper
Cleansi

Kwiaciarnia Niespodzianka - Poczta Kwiatowa
Premio Autopon Wrocław

Warsztat Fryzur Męskich Barbershop | Fryzjer Męski Legnicka
kuriermiejski.pl
Pralnia Wrocław „Gosh”
Land Arch Design projektowanie ogrodów

Tichonow Maksim, lek. med. psychiatra. Gabinet lekarski

Ergotax - księgowość, doradztwo podatkowe we Wrocławiu

Marcin Wądrzyk doradca kredytowy / kredyt hipoteczny / kredyt mieszkaniowy / przeniesienie kredytu / kredyt bez wkładu
PLCG Kredyty hipoteczne, kredyty mieszkaniowe, przeniesienie kredytu

KRASNALBUD Wykończenia i Remonty Mieszkań pod klucz Wrocław

Arti Nail Studio




